
The Complete Guide to Dental Implants
Dental implants (teeth implants) serve as a replacement for a damaged or missing tooth. Read the simple guide to learn how they can help you.
What Are Dental Implants? (Updated Guide for 2025)
Many people suffer from missing teeth or chipped teeth, and the effect that having less than perfect teeth can have on your smile and therefore your self-confidence can be quite damaging.
However, there are solutions in the form of various dental procedures or surgeries including dental implants or veneers.
Dental implants or tooth implants serve as a replacement for the root of your missing tooth or teeth and provide a strong foundation for fixed (permanent) or removable teeth that are designed to match the look and feel of your natural teeth.
If you’ve lost a tooth due to decay, injury, or for any other reason at all, then dental implants might be a good choice.
They serve as a replacement root for your missing tooth or teeth and can look just as natural as your real teeth – or perhaps even better!
1. What Are Dental Implants?
2. Types of Dental Implants
3. How are Dental Implants Created?
4. Why are Dental Implants Used
5. What Kind of Dentist Does Dental Implants?
6. Dental Implants Procedure
7. What Risks Are Involved with Dental Implants?
8. Cost of Dental Implants
What Are Dental Implants?
Dental implants are replacements for the root of a tooth or teeth that allow for a fixed (permanent) or removable faux tooth that mimics the appearance and ability of your natural teeth.
These are an option if your teeth are damaged due to injury or decay and can be a potential alternative to bridges or dentures.
One of the reasons that dental implants are regularly used is because they look natural; they are designed to fuse with your jawbone and they are permanently placed, so there is no need to deal with uncomfortable dentures and any problems they might cause such as slurred or awkward speech or difficulty chewing or eating.
On the contrary, with dental implants eating, speaking, and one’s overall self-confidence tends to improve, since dental implants essentially function in the same way as actual teeth.
Dental implants also remove the potential for embarrassment and complications that result from removing dentures and their accompanying adhesives and related issues.
Types of Dental Implants
So, what are dental implants anyways?
There are several different types of dental implants but they are all designed to be a permanent fixture in your mouth and will match the appearance of your natural teeth – no one needs to know you have teeth implants besides your dental surgeon or other medical professionals.
Perhaps the most popular type of dental implant is made from a pure titanium root that is embedded in the jawbone with an attached porcelain tooth or teeth dyed to match the colour and appearance of the surrounding teeth and the patient’s unique bite pattern.
Eating, brushing, flossing, and otherwise using a tooth implant or teeth implants is nearly the same as having natural teeth.
How are Dental Implants Created?
Our dental implant Melbourne dentist uses 3-D imaging technology to create tooth implants that can be installed or placed fairly quickly which also makes them an ideal choice for many individuals; furthermore, if a patient has multiple teeth that need to be fixed or replaced, the All-On-4 technique can be utilized to replace a full set of top or bottom teeth.
Dental implants are also relatively stable and can be placed without affecting the quality and health of the surrounding teeth, and they allow for eating and chewing normally with no need to remove dentures or otherwise deal with potentially problematic dental work.
In fact, dental implants can be considered to be a more conservative tooth or teeth replacement option since they don’t tend to affect adjacent teeth and don’t really require any other alterations to a patient’s mouth or smile.
Moreover, once dental implants are placed and healed they are essentially the same as the patient’s own teeth and can last for years or even decades with proper oral hygiene and care.
Why are Dental Implants Used
Dental implants like immediate load implants or mini implants are a popular choice for individuals who have missing or damaged teeth for a variety of reasons.
Since they are permanently placed and fuse with the bone in the jaw through a process called osseointegration, they look and act like natural teeth.
What’s more, dental implants are easy to clean, improving the patient’s oral health.
In addition, dental implants are extremely durable and can last for a lifetime with proper care – the high success rate for dental implants has made them a preferred alternative to bridges or dentures, particularly because they last for such a long time if properly cared for and tend to not have a negative effect on eating and drinking or the appearance of the patient’s face and smile.
One thing to keep in mind if you are considering dental implants is that patients need to have healthy gums and enough healthy bone to attach the implant.
Heavy smokers or those with chronic diseases like heart problems or diabetes, or anyone who’s experienced radiation therapy involving the head and neck area may not be good candidates for certain types of dental implants.
These limitations do include the most common sort of tooth implants – endosteal implants that are fixed into the bone and are considered to be the standard sort of tooth implant.
Zygomatic implants – which involve placing the tooth implant or implants into the cheekbone versus the jawbone – are a more invasive option that is really only used if the patient doesn’t have enough bone in the jaw for the dental surgeon to work with.
Bone augmentation, sinus lifts, and ridge expansions are also ways to help improve the state of the jawbone and allow for dental implants.
Whether your dentist suggests dental implants versus bridges or dentures depends on several factors, including the location and placement of the missing tooth or teeth, the quality and amount of jawbone where the replacement tooth or teeth would be placed, the patient’s overall oral health, the cost associated with implants, and preference of the individual.
What Kind of Dentist Does Dental Implants?
Dentists that do dental implants or teeth implants have done extra training in the field of implant surgery.
Our Melbourne cosmetic dentist, Dr Kasen has been placing implants for the last 20 years.
In complex cases, you may need to see a specialist such as either a periodontist or oral and maxillofacial surgeon who have more surgical training and experience than other specialized or general types of dentists.
Dental implant specialists or tooth implant specialists often make these processes a major focus of their practices and will provide before and after examples of their work.
Always check out a dentist’s or dental surgeon’s website and ask for pictures of satisfied patients before you make a major decision that will affect your smile and overall appearance.
Dental insurance may or may not cover dental implants; in general, it is always a good idea to check out your policy and discuss costs and payment options with your dentist and their team before committing to any kind of dental medical procedure.
Dental Implants Procedure
The process of getting dental implants involves several different procedures and multiple visits to the dentist’s office.
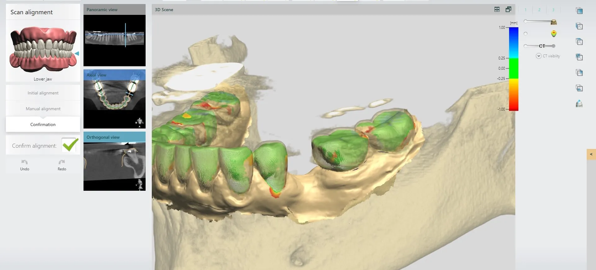
It starts planning the surgical procedure by taking a 3D scan of your jaw as well as obtaining a 3D x-ray of the bone in your jaw.
These two 3D images are merged allowing for the most accurate and safe planning and placement of the implant.
Nerves and blood vessels are identified and the implant planning in 3D takes place.
Once the optimal placement of the implant is obtained, a surgical guide is designed and 3D printed.
This is how modern and accurate implant surgery now takes place.
Essentially a root or post made of titanium is placed in the bone where the missing tooth was located and allowed to heal for six to twelve weeks before the faux tooth is attached or embedded with an abutment, or small titanium piece designed to anchor the replacement tooth or crown in place.
Local anaesthesia is used during these procedures and your dentist may be able to prescribe a sedative as well to help the tooth implant procedure go as smoothly as possible.
Crowns or replacement teeth are crafted from porcelain and designed to match the look and feel of your natural teeth.The dentist will make a mould of your teeth and use that to mimic your natural bite pattern and fit the dental implant to your mouth.
The implant will also be coloured or dyed to match the shade of your actual teeth as well.
What Risks Are Involved with Dental Implants?
Like most dental surgeries, any dental implant procedure risks are relatively minimal for patients who are otherwise healthy.
What’s more, even patients with gum disease or other oral health problems may be good candidates for different types of dental implant procedures since the implant fuses with the actual bone of the jaw through osseointegration.
Dental implants require similar care to natural teeth, including regular brushing, flossing, dental check-ups, and other general dentistry services.
In fact, they are considered the typical standard of care for replacing damaged or missing teeth although prospective dental implant patients should be aware that there is some potential for nerve damage or infection at the implant site.
Cost of Dental Implants
Be aware that the average cost of dental implants varies based on your location, your dental surgeon’s experience and the type (brand/quality) of dental implant used.
In Australia, the average range for a single dental implant can be anywhere from $1,500 to $3,000 depending on where you live and what your dentist thinks you require.
Furthermore, your insurance may or may not cover dental implants or tooth implants due to the reasons why you are considering getting teeth implants to begin with.
Teeth implants usually cost around several thousand dollars on average and the price may increase if you are getting multiple dental implants versus a single tooth implant.
But of course, the actual out of pocket expense of teeth implants or dental implants will change depending on your insurance and the dentist or dental surgeon that you choose.
What should I know before getting dental implants?
This comprehensive dental implant guide from Signature Dentistry in Toorak covers candidacy, procedure steps, recovery timeline and costs ($1,500-$3,000 per implant). Dr Kasen Somana explains bone grafting, healing periods and long-term success rates. Implants can last a lifetime with proper care.
Frequently Asked Questions
Dental implants have a success rate of approximately 95% over 10 years. At Signature Dentistry in Toorak, Dr Kasen Somana uses digital planning and quality titanium implants to maximise long-term outcomes.
A bone graft may be needed if your jawbone has insufficient density to support an implant. Dr Kasen Somana assesses bone levels using 3D imaging at Signature Dentistry and discusses grafting options if required.
Smoking increases the risk of implant failure. Dr Kasen Somana at Signature Dentistry strongly recommends quitting smoking before and after implant placement to improve healing and long-term success.

Meet cosmetic dentist
Dr Kasen Somana & team
The standard for compassion, care, and comfort begin here.
Honours graduate of the University of Sydney. Masters in Aesthetic Dentistry from King's College London.
Meet Dr Kasen Somana ›
1A Grange Rd, Toorak
Fri – Sun: Closed


